Ulcerative colitis
Ulcerative colitis
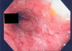
In ulcerative colitis, disease is found in the colon (large intestine) and rectum. With ulcerative colitis inflammation is limited to the superficial (mucosal) layers of the gastrointestinal tract and tends to be even and continuous.
Symptoms of ulcerative colitis include:
- Rectal bleeding
- Passage of mucus
- Diarrhea
- Urgency
- Abdominal pain
The types of ulcerative colitis are based on the location within the gastrointestinal tract:
- Proctitis – inflammation of the rectum only
- Left sided colitis – inflammation from the rectum
- Proctosigmoiditis (rectum and sigmoid colon)
- Pancolitis (inflammation of the whole colon: right, left, transverse, rectum).
View CT image of acute Crohn's disease with obstruction (Warning: medical image)

View pictures of normal gut and Crohn's disease (Warning: medical images)
Normal Illium

Normal rectum and anus

Crohn’s Disease – longitudinal ulceration

Crohn’s Disease – longitudinal ulceration

Crohn’s rectum, less involved

Crohn’s diesease, ulceration of sigmoid colon

Hints for health: Predicting a flare up is not possible, but early recognition of symptoms and consultation with your doctor results in a better response to treatment.
Continuous (maintenance) treatment to prevent relapses is usually advised